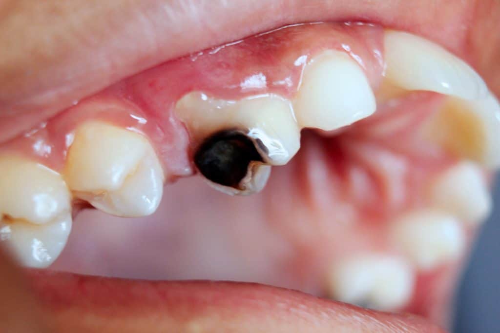
Can You Reverse a Cavity? Here’s What Our Expert Dentist Says
You just noticed a white spot on your tooth, and now you’re wondering: can you reverse a cavity before it worsens? The answer might surprise you—sometimes yes, but it depends on how far the decay has progressed. Dr. Robert L. Rodriguez sees patients every week who ask this exact question, and the good news is that catching problems early gives you the best shot at stopping decay in its tracks.
Your teeth have an amazing ability to heal themselves under the right conditions. But here’s the catch: once a cavity breaks through your enamel and creates an actual hole, you’ve crossed the point of no return and need professional treatment.
Broken Tooth Repair in San Antonio You Can Trust
If you need broken tooth repair in San Antonio, take a breath—we can help. A chipped, cracked, or fractured tooth can rattle your day. Pain may spike when you chew, or maybe the edge feels sharp on your tongue. Either way, you deserve fast answers and a plan. At Robert L. Rodriguez DDS, Dr. Robert L. Rodriguez and our friendly team evaluate the damage quickly, explain your options in plain language, and relieve discomfort with gentle, precise treatments. We guide every step so you know what happens next, without surprises. What Should I Do If I Break a Tooth? Rinse with warm water and look for any pieces. If the tooth bleeds, apply clean gauze with light pressure. Use a cold compress for swelling. If a rough edge irritates your cheek or tongue, cover it with dental wax or sugar-free gum. Avoid chewing on that side. Call us right away so we can reserve time for you and protect the tooth from further damage. If a large piece breaks or you feel severe pain, treat it like a dental emergency and reach out immediately. You can start by sending a note through our contact page, and we’ll call back to arrange care. When Is Broken Tooth Repair in San Antonio Needed? Anytime structure changes, we should check it. Common causes include biting a hard object, sports injuries, nighttime grinding, and decay that weakens enamel. Warning signs include pain when biting, sensitivity to cold, a visible chip or crack, and food catching in the area. Even small fractures can spread. Early care keeps the tooth strong and helps you avoid more complex work later. If you’re unsure, bring it in for a quick evaluation, and we’ll map out the next steps. What Treatment Options Are Available? We match treatment to the break’s size, location, and cause. Options may include: Will a Broken Tooth Always Hurt? Not always. Some cracks stay silent until you bite on something firm. Others throb or feel temperature swings. Pain can come and go, so don’t wait for a perfect moment. We evaluate the nerve, check the bite, and look for hidden cracks to treat the real cause, not just the symptom. Fast attention reduces the risk of a deeper fracture and helps you return to normal eating. We also share simple home tips to stay comfortable between visits, like favoring the other side and avoiding sticky foods. If inflammation reaches the pulp, we’ll remove infection and protect the tooth with a strong restoration, preserving chewing and stopping lingering sensitivity. How Long Does Repair Take? Many small chips need one visit. Larger fractures may require two visits, so we can design a long-lasting result. Typical appointments here run about 45–90 minutes, which gives us time to answer questions and do careful work. We also use digital imaging to plan efficiently and reduce chair time when possible. If you need broken tooth repair in San Antonio, we’ll outline a clear timeline after your exam and keep you informed throughout. After treatment, we review bite balance to protect the repair and keep it feeling natural. How Can I Prevent Future Tooth Breaks? Strong habits protect teeth. Start with a few daily moves: Ready to Get Started? We’re local, easy to reach, and happy to help. Our office is easy to find, so you can get here without hassle. Contact us today to schedule your visit with Dr. Robert L. Rodriguez. We offer everything from preventative care to endodontic therapy and beyond!
Dental Veneers in Bexar County

A chipped tooth from a weekend soccer match or stubborn gaps you’ve always noticed in photos—these are small things, but our dental veneers in Bexar County offer one of the surest ways to help you achieve the smile you want without years of waiting. Dental veneers are thin shells placed over the front of your teeth to change shape, color, or spacing. The process is straightforward, but the results? That’s where the transformation happens—sometimes after just two visits. Whether you’re considering one veneer or a whole new look, your options in Bexar County blend convenience and a skill level that’s pretty hard to miss. What Dental Veneers Bexar County Offers Dental veneers in Bexar County come in several materials—most commonly porcelain or composite resin. Each choice offers different strengths. Porcelain veneers resist stains well and mimic natural teeth, while composite resin gives a quicker fix and works well for subtle changes. At our 7434 Blanco Rd office, we pay close attention to the details that matter, from tooth shade matching to precise contouring. You’ll notice we take the time to answer questions at every step. If you’re considering closing a spaced tooth or covering a small chip, we can explain which veneer type fits your needs best. Are Veneers Right for You? Dental veneers aren’t for everyone, but they help a lot of different smiles—covering worn edges, uneven teeth, permanent stains, and small gaps. We start by checking your dental health and discussing what you want to change. If you’re dealing with regular sensitivity, untreated gum disease, or severe misalignment, we’ll discuss alternative options. Sometimes, a single veneer can do the job. Other times, a set offers the most natural result. We see a lot of adults in Bexar County who want to look as natural as possible—so we focus on veneers that fit your personality, teeth, and routine. It’s practical, and it works. Personalized Smile Design at Our Office Every smile and our approach to planning dental veneers are unique. The process starts with a thorough conversation and digital photos of your teeth. We talk through your goals—do you want a brighter color, slightly longer front teeth, or to hide a stubborn chip? Sometimes, we use a mock-up or even create a temporary set to help you visualize the result before anything is permanent. We’ll guide you through each step, so you always know what’s happening next. Our team keeps things friendly and low-pressure, so you can make decisions at your own pace. What to Expect During Your Visit Walking into our office, you’ll notice our care in making your visit comfortable. The process for dental veneers usually spans two appointments. During your first visit, we’ll take impressions and photos and discuss small details, like the shape and brightness that feel most like “you.” We understand that time matters, so appointments move efficiently. Our team is happy to answer any questions, whether about the next steps for your veneers or what’s on our local art wall right now. Kids are usually curious about our tools, and adults appreciate the relaxed, no-rush atmosphere. Caring for Your Veneers After your new look is in place, maintenance for dental veneers turns out to be fairly straightforward. Brushing twice a day, regular dental check-ins, and skipping extra-hard or sticky snacks goes a long way. We’ll walk you through any do’s and don’ts specific to your new veneers, and let you know if a mouthguard or other at-home help makes sense for your routine. Our patients often ask about whitening—good news: porcelain veneers resist stains much better than natural teeth. Think of it as a partnership—we keep an eye on your veneers at every visit, so you always leave knowing your smile is in the right hands. Quality Dental Veneers in Bexar County, TX Choosing dental veneers at Robert L. Rodriguez DDS means working with a team that prioritizes what matters to you—clear answers, personal attention, and results that fit your everyday life. Patients appreciate our knowledgeable staff and the easy-going feel of our San Antonio office. There’s no confusing jargon or rushed conversations, and we’re always here for follow-up questions or tips about long-term care. Ready for a change? Find us right on Blanco Rd. Contact us today to schedule your first visit or stop by to learn more. Dr. Robert L. Rodriguez and his team will happily help you discover the smile you’ve been hoping for. We’re here for preventative care, all-on-4 dental implants, sleep apnea treatment, and much more!
Debunking Myths: Truths About Your Restorative Dentist in San Antonio

When you’re considering restorative dental treatment, separating fact from fiction becomes crucial for making informed decisions about your oral health. As a trusted restorative dentist in San Antonio, Dr. Robert L. Rodriguez has encountered countless misconceptions that prevent patients from seeking the care they need. These myths often create unnecessary anxiety and delay important treatments that could restore both function and confidence to your smile. Understanding the reality behind common dental myths empowers you to take control of your oral health journey. Dr. Rodriguez and his team at iSmile San Antonio believe that education forms the foundation of excellent patient care, which is why addressing these misconceptions directly serves your best interests. Myth 1: Restorative Dentistry Always Involves Painful Procedures Many people avoid visiting a restorative dentist in San Antonio because they assume all treatments will cause significant discomfort. This outdated belief stems from past dental experiences, but modern dentistry has evolved dramatically. Today’s advanced dental technology includes sophisticated pain management techniques, precision instruments, and minimally invasive approaches that prioritize patient comfort. Dr. Robert L. Rodriguez utilizes state-of-the-art equipment and proven anesthesia methods to ensure comfort throughout every procedure. From simple fillings to complex restorations, patients consistently report that their actual experience far exceeded their expectations in terms of comfort and ease. Myth 2: Dental Implants Are Only for Elderly Patients Another common misconception suggests that dental implants and comprehensive restorative treatments only benefit older adults. Young adults and middle-aged individuals often believe they’re too young for such procedures. Still, tooth loss can affect anyone at any age due to trauma, genetic factors, or health conditions. For example, the All-on-4 dental implants procedure provides an excellent solution for patients of various ages who have lost multiple teeth. This innovative approach allows Dr. Rodriguez to restore an entire arch of teeth using just four strategically placed implants, regardless of the patient’s age. The key factors are bone health and overall oral condition, not your birth year. Myth 3: Restorative Dentistry Costs Too Much for Average Families Financial concerns often prevent patients from seeking necessary restorative care, but this myth overlooks the long-term value and available payment options. When you work with an experienced restorative dentist in San Antonio, you invest in treatments that can last decades with proper care. The cost of avoiding treatment often exceeds the price of addressing problems early. Dr. Rodriguez’s practice offers comprehensive financial information to help families understand their options. Many insurance plans cover significant portions of restorative treatments, and flexible payment plans make quality care accessible to patients with various budget considerations. The team works closely with each patient to develop a financial approach that fits their situation. Myth 4: Natural Teeth Always Outperform Restorations While preserving natural teeth remains the primary goal, severely damaged or infected teeth don’t always function better than quality restorations. Some patients endure years of discomfort, difficulty eating, or embarrassment about their smile because they believe natural teeth are always superior to dental work. Modern restorative materials and techniques can often improve upon damaged natural teeth. Dental crowns, bridges, and implants can provide superior strength, appearance, and function compared to compromised natural teeth. Dr. Robert L. Rodriguez carefully evaluates each situation to determine when restoration will serve the patient’s best interests. Myth 5: Restorative Treatments Look Obviously Artificial Today’s dental restorations bear little resemblance to the obvious “fake” teeth of previous generations. Contemporary materials like advanced ceramics and composite resins match the translucency, color, and texture of natural teeth so closely that even dental professionals have difficulty distinguishing between restorations and natural teeth. Dr. Rodriguez combines artistic skill with technical expertise to create restorations that blend seamlessly with your existing teeth. The goal is always to enhance your natural smile while providing lasting function and durability that serves you well for years to come. Moving Forward with Confidence Understanding these facts about restorative dentistry helps you make decisions based on current realities rather than outdated assumptions. Your oral health deserves attention from qualified professionals who stay current with the latest techniques and technologies. The experienced team at Dr. Rodriguez’s practice combines compassionate care with clinical excellence to deliver results that exceed patient expectations. Located in San Antonio, Texas, the practice serves patients throughout the greater San Antonio area with comprehensive restorative services. Visit Your Restorative Dentist in San Antonio Don’t let myths and misconceptions prevent you from achieving the healthy, confident smile you deserve. Every day you delay treatment, minor issues can develop into more complex problems that require extensive intervention. A consultation with Dr. Robert L. Rodriguez provides accurate information about your situation and treatment options. Ready to separate fact from fiction about your oral health? Contact us today to schedule your consultation and discover how modern restorative dentistry can improve your quality of life. Your journey toward optimal oral health starts with a single phone call to a restorative dentist in San Antonio who truly cares about your well-being.
Essential Services Offered by a Preventative Dentist in San Antonio
If you’ve been searching for ways to reclaim your best smile, a cosmetic dentist in San Antonio, TX, can help. Your smile is one of the first things people notice about you. It plays a significant role in personal interactions, professional opportunities, and your overall self-esteem. Yet, the fear of flawed dental aesthetics keeps many from smiling confidently. With advanced treatments and patient-focused care, cosmetic dentistry offers a path to transform your smile, confidence, and quality of life. The Psychological Impact of Your Smile Your smile’s influence extends beyond aesthetics. Research consistently shows a strong connection between smiling and confidence. When you feel self-conscious about your teeth, you may hesitate to smile, affecting how others perceive you and even how you perceive yourself. Have you noticed how a genuine smile can light up a room or ease social interactions? Smiling makes you seem approachable, trustworthy, and confident. A confident smile can create meaningful connections and memorable first impressions, whether at a job interview, a networking event, or simply spending time with loved ones. If concerns about your teeth prevent you from smiling, cosmetic dentistry offers solutions that can reinvigorate your self-assurance. Common Cosmetic Dental Concerns That Affect Confidence Is there something about your teeth that makes you feel self-conscious? Here are some of the most common dental concerns that can impact your day-to-day confidence: Cosmetic dental treatments restore and enhance your smile for every concern. Cosmetic Dental Treatments That Transform Smiles Modern cosmetic dentistry offers an array of options tailored to your unique needs. Here’s a closer look at some top treatments performed by cosmetic dentists in San Antonio, like Dr. Robert L. Rodriguez: Teeth Whitening Brighten your smile with teeth whitening treatments that eliminate years of stains and discoloration. Professional whitening delivers faster and more effective results than over-the-counter products, leaving you with a radiant, youthful glow in just one visit. Porcelain Veneers Porcelain veneers are thin, custom-made shells that cover imperfections such as chips, gaps, and discoloration. They create a uniform, flawless smile while preserving your natural teeth. Invisalign & Clear Aligners Do you have crooked or misaligned teeth? Invisalign and clear aligners offer a discreet, effective way to straighten your smile without traditional metal braces. Dental Bonding and Contouring Dental bonding and contouring are quick and cost-effective solutions for minor imperfections such as small chips or uneven teeth. Bonding involves applying a tooth-colored resin to reshape your teeth seamlessly. Dental Implants Missing teeth can create larger problems beyond appearance. Dental implants replace missing teeth while mimicking their functionality, ensuring your smile is as strong and beautiful as it is complete. These treatments aren’t just about aesthetics—they also restore oral function and promote better oral health. Real-Life Benefits of a Confident Smile The benefits of cosmetic dentistry aren’t just theoretical; they’re tangible and life-enhancing. Here’s how boosting your smile can impact your day-to-day life: Your smile is an investment in how you and others feel around you. Why Choose a Cosmetic Dentist in San Antonio San Antonio is home to cosmetic dentists who pair expertise with technology to deliver life-changing results. Dr. Robert L. Rodriguez, a leading cosmetic dentist, is celebrated for his patient-focused care and passion for perfection. What makes choosing a local practitioner so beneficial? You’ll receive expert treatment and a supportive atmosphere where your goals are prioritized. Invest in Your Confidence Today Your smile is one of your most valuable assets, and investing in cosmetic dentistry means investing in a brighter, more confident future. Treatments from teeth whitening to dental implants are designed to enhance appearance and self-esteem. Are you ready to take the next step toward the smile you’ve always wanted? Schedule a consultation with Dr. Robert L. Rodriguez, a trusted cosmetic dentist in San Antonio. Whether you’re looking for a minor enhancement or a full smile makeover, Dr. Rodriguez and his team will help you design a plan for your desired results. Don’t wait to smile with confidence. Book your appointment today.
How Often Should You Visit a Dentist in San Antonio?
Regular dental visits aren’t just about keeping your smile bright; they’re also key to maintaining your overall health. Choosing the right dentist in San Antonio can make all the difference in catching issues early, personalizing your care, and keeping your experience stress-free. Dr. Robert L. Rodriguez, DDS, and his team at iSmile SA are committed to making every appointment comfortable, compassionate, and tailored to your needs. Whether you’re booking your first visit or a long-time resident, this guide explains how often you should schedule dental checkups, who may need to visit more (or less) frequently, and how local expertise helps you maintain your best oral health. The General Recommendation: The 6-Month Rule The American Dental Association (ADA) recommends visiting the dentist every six months for most adults and children. This “biannual visit” approach allows your dental care team to: By keeping up with your six-month checkups, you allow your dentist in San Antonio to address issues before they become more painful or expensive to treat. Are there exceptions? Yes. Individuals with consistently excellent oral health and low-risk factors may be able to see their dentist once per year. However, always decide with your provider based on your dental history and risk assessment. When You May Need More Frequent Visits Not everyone’s dental needs are the same. Some people require more frequent visits to prevent or treat ongoing oral health challenges. You may fall into this group if: High-Risk Patients History of Cavities or Plaque Buildup If you’ve had several fillings, crowns, or frequent plaque buildup in the past, your dentist may recommend three to four visits per year for targeted cleanings and checkups. Orthodontic Work Whether you have traditional braces or Invisalign, regular visits are important to monitor progress, make adjustments, and ensure proper hygiene around appliances. Chronic Health Conditions Health issues like dry mouth (xerostomia), acid reflux, or immune system disorders can increase your risk for decay and infection, so more frequent checkups may be advised. Dental Visits for Children: Start Early, Build Confidence Children need dental care tailored to their stage of growth. The ADA suggests bringing your child for their first dental visit by age one or when their first tooth erupts. Dr. Robert L. Rodriguez, DDS, and his team offer a warm, kid-friendly environment to make little ones feel at home. Early visits focus on: Establishing a routine early helps children build positive lifelong habits and reduces dental anxiety. Seniors and Special Considerations Aging brings unique oral health needs. Gum recession, dry mouth (common with many medications), and increased risk of cavities or tooth loss are all concerns for seniors. Common Dental Needs for Seniors Routine checkups with a trusted dentist in San Antonio, like Dr. Rodriguez, help manage these issues and maintain function, comfort, and aesthetics as you age. Don’t Wait for Your Next Scheduled Appointment If… Certain symptoms mean you shouldn’t delay seeing your dentist. Call iSmile SA for a prompt evaluation if you notice: Dr. Rodriguez and his team offer same-day emergency appointments to address urgent concerns quickly and compassionately. Personalized Schedules at iSmile SA Every smile is unique, and so is every patient’s care schedule. Dr. Robert L. Rodriguez, DDS, creates custom dental plans through: If you’re a new patient or it’s been a while, the team works with you to set a care schedule you’ll keep. Your Dentist in San Antonio Regular dental checkups aren’t a luxury – they’re essential to caring for your health. Scheduling appointments with a quality, compassionate dentist in San Antonio, TX, means access to: Whether you aim to maintain your bright smile, resolve a persistent issue, or finally feel confident during dental visits, you’ll find support from Dr. Robert L. Rodriguez, DDS.Contact us today to book your personalized dental checkup and start your path to a lifetime of healthy smiles.
How a Cosmetic Dentist in San Antonio Can Boost Your Confidence
If you’ve been searching for ways to reclaim your best smile, a cosmetic dentist in San Antonio, TX, can help. Your smile is one of the first things people notice about you. It plays a significant role in personal interactions, professional opportunities, and your overall self-esteem. Yet, the fear of flawed dental aesthetics keeps many from smiling confidently. With advanced treatments and patient-focused care, cosmetic dentistry offers a path to transform your smile, confidence, and quality of life. The Psychological Impact of Your Smile Your smile’s influence extends beyond aesthetics. Research consistently shows a strong connection between smiling and confidence. When you feel self-conscious about your teeth, you may hesitate to smile, affecting how others perceive you and even how you perceive yourself. Have you noticed how a genuine smile can light up a room or ease social interactions? Smiling makes you seem approachable, trustworthy, and confident. A confident smile can create meaningful connections and memorable first impressions, whether at a job interview, a networking event, or simply spending time with loved ones. If concerns about your teeth prevent you from smiling, cosmetic dentistry offers solutions that can reinvigorate your self-assurance. Common Cosmetic Dental Concerns That Affect Confidence Is there something about your teeth that makes you feel self-conscious? Here are some of the most common dental concerns that can impact your day-to-day confidence: Cosmetic dental treatments restore and enhance your smile for every concern. Cosmetic Dental Treatments That Transform Smiles Modern cosmetic dentistry offers an array of options tailored to your unique needs. Here’s a closer look at some top treatments performed by cosmetic dentists in San Antonio, like Dr. Robert L. Rodriguez: Teeth Whitening Brighten your smile with teeth whitening treatments that eliminate years of stains and discoloration. Professional whitening delivers faster and more effective results than over-the-counter products, leaving you with a radiant, youthful glow in just one visit. Porcelain Veneers Porcelain veneers are thin, custom-made shells that cover imperfections such as chips, gaps, and discoloration. They create a uniform, flawless smile while preserving your natural teeth. Invisalign & Clear Aligners Do you have crooked or misaligned teeth? Invisalign and clear aligners offer a discreet, effective way to straighten your smile without traditional metal braces. Dental Bonding and Contouring Dental bonding and contouring are quick and cost-effective solutions for minor imperfections such as small chips or uneven teeth. Bonding involves applying a tooth-colored resin to reshape your teeth seamlessly. Dental Implants Missing teeth can create larger problems beyond appearance. Dental implants replace missing teeth while mimicking their functionality, ensuring your smile is as strong and beautiful as it is complete. These treatments aren’t just about aesthetics—they also restore oral function and promote better oral health. Real-Life Benefits of a Confident Smile The benefits of cosmetic dentistry aren’t just theoretical; they’re tangible and life-enhancing. Here’s how boosting your smile can impact your day-to-day life: Your smile is an investment in how you and others feel around you. Why Choose a Cosmetic Dentist in San Antonio San Antonio is home to cosmetic dentists who pair expertise with technology to deliver life-changing results. Dr. Robert L. Rodriguez, a leading cosmetic dentist, is celebrated for his patient-focused care and passion for perfection. What makes choosing a local practitioner so beneficial? You’ll receive expert treatment and a supportive atmosphere where your goals are prioritized. Invest in Your Confidence Today Your smile is one of your most valuable assets, and investing in cosmetic dentistry means investing in a brighter, more confident future. Treatments from teeth whitening to dental implants are designed to enhance appearance and self-esteem. Are you ready to take the next step toward the smile you’ve always wanted? Schedule a consultation with Dr. Robert L. Rodriguez, a trusted cosmetic dentist in San Antonio. Whether you’re looking for a minor enhancement or a full smile makeover, Dr. Rodriguez and his team will help you design a plan for your desired results. Don’t wait to smile with confidence. Book your appointment today.
What Should I Know About Restorative Dentistry in San Antonio?

Introduction At Robert L. Rodriguez, DDS, your smile is our priority, and we’re here to provide you with comprehensive and effective dental care designed to meet your unique needs. One of the key areas of our practice is restorative dentistry, which addresses oral health problems to restore both function and appearance. But what exactly does restorative dentistry entail, and how can it benefit you? If you’re seeking quality restorative dentistry in San Antonio, this blog will guide you through everything you need to know. What is Restorative Dentistry? Restorative dentistry focuses on repairing and restoring your teeth’ health, function, and aesthetics. The goal is to fix damaged, decayed, or missing teeth to help you maintain good oral health and a confident smile. This branch of dentistry doesn’t just stop at filling cavities; it also offers advanced procedures like dental crowns, bridges, implants, and more, ensuring comprehensive care to address a range of issues. How Does Restorative Dentistry Help You? Restorative dentistry is crucial in improving your oral and overall health. Missing or damaged teeth can lead to difficulties in eating, speaking, and even smiling with confidence. Additionally, untreated oral issues often lead to more serious problems, including infections and jawbone deterioration. Through restorative dentistry in San Antonio, we can help you regain the full function of your teeth while enhancing your smile’s aesthetics. Addressing structural concerns prevents further complications and ensures long-term oral health. Common Restorative Dentistry Procedures Dental Fillings Fillings are one of the simplest yet most essential restorative procedures. They repair teeth damaged by cavities, restoring function and preventing further decay. Dental Crowns Crowns, or “caps,” are placed over damaged or weakened teeth to restore their shape, size, and strength. They also improve the tooth’s appearance, making them a versatile option. Dental Bridges Bridges replace missing teeth by anchoring artificial teeth to adjacent natural ones, which restores both the functionality and aesthetics of your smile. Dental Implants Implants are a cutting-edge solution for replacing missing teeth. They involve a surgically placed post that acts as the tooth’s root, topped with a custom-made crown for a natural look. Dentures For those who have lost multiple teeth, dentures provide a reliable and effective way to restore chewing and speaking abilities while maintaining facial structure. Restorative Dentistry vs. Cosmetic Dentistry While restorative and cosmetic dentistry may seem similar, they serve different purposes. Restorative dentistry focuses on improving the function and health of your teeth, addressing issues like cavities, missing teeth, or oral infections. On the other hand, cosmetic dentistry focuses on enhancing your smile’s aesthetics, such as whitening or reshaping teeth. However, the two can overlap in some procedures. For example, dental crowns or implants can improve both the functionality and appearance of your teeth. If you’re unsure which service is right for you, our team in San Antonio will help guide you through the best options during your consultation. Why Choose Robert L. Rodriguez, DDS for Restorative Dentistry in San Antonio? At Robert L. Rodriguez, DDS, our commitment to personalized, high-quality care sets us apart. We understand that every patient’s needs differ, so we tailor our restorative dental treatments to suit your unique situation. Using state-of-the-art technology and a wealth of expertise, we strive to ensure your smile is functional and beautiful. Restorative dentistry in San Antonio has the power to significantly improve your quality of life by addressing oral health issues head-on. Whether you need a simple filling or a more involved procedure like dental implants, our experienced team is here to create a treatment plan that works for you. Contact us today to schedule an appointment and take the first step toward a healthier, more confident smile!
This is Where to Get CEREC Crowns “Near Me”
Introduction Are you searching for “CEREC Crowns near me” to restore your smile with modern convenience and precision? At our dental office, we specialize in providing patients with CEREC crowns—an exceptional solution for those seeking durable, natural-looking dental restorations in a single visit. CEREC crowns offer an innovative approach to dental care, combining state-of-the-art technology with outstanding results. Keep reading to learn more about what makes CEREC crowns unique, how they work, and why they’re an ideal choice for patients seeking a quick and efficient way to enhance their oral health. What Are CEREC Crowns? CEREC, which stands for Chairside Economical Restoration of Esthetic Ceramics, is a revolutionary technology that allows dentists to create and place high-quality crowns during a single appointment. Unlike traditional crowns that may require multiple visits and temporary restorations, CEREC uses advanced CAD/CAM (computer-aided design and manufacturing) technology to fabricate custom-fitted crowns right in the dental office. Made from durable ceramic, these crowns mimic natural teeth in appearance and function, providing a seamless, long-lasting restoration. How Do CEREC Crowns Differ from Traditional Crowns? One of the most significant advantages of CEREC crowns is the time-saving convenience they offer. While traditional crowns often require multiple visits over a few weeks, with time spent on messy impressions and waiting for lab fabrication, CEREC eliminates the need for temporaries and extended timelines. Additionally, CEREC crowns are more precise because they are digitally designed to fit the unique contours of your tooth. The combination of 3D imaging and on-site milling ensures that your restoration is both comfortable and aesthetically pleasing. Furthermore, CEREC crowns are made from a single block of ceramic material, offering excellent durability and reducing the risks of cracking or fractures compared to some other materials used in traditional crowns. The Placement Process of CEREC Crowns The process of placing CEREC crowns is straightforward and streamlined, designed with your convenience and comfort in mind. Here’s what you can expect during the procedure: How to Care for Your CEREC Crowns Caring for your CEREC crowns is simple and mirrors the care you’d provide for your natural teeth. Here are some tips to ensure the longevity of your restoration: With proper care, CEREC crowns can last many years, helping you maintain a confident and healthy smile. Why Choose CEREC Crowns at Our Office? When it comes to finding “CEREC Crowns near me,” you deserve a dental team committed to quality care and patient satisfaction. At our practice, we pride ourselves on staying at the forefront of dental technology, offering the most advanced solutions for your oral health needs. By choosing us for your CEREC crowns, you’ll enjoy the benefits of personalized care, expert craftsmanship, and the efficiency of same-day treatment. We prioritize your comfort and dedicate ourselves to delivering results you’ll love. Visit Robert L. Rodriguez, DDS, for Your Dental Needs At the office of Robert L. Rodriguez, DDS, we’re here to help you achieve your healthiest, most beautiful smile. Our team combines cutting-edge technology with compassionate care to provide practical solutions tailored to your needs. Beyond crowns, we also offer treatments for sleep apnea, cracked teeth, and emergency dental care.If you’re ready to experience the convenience and excellence of CEREC crowns, contact us today to schedule an appointment. Your smile deserves the best—discover the difference with Robert L. Rodriguez, DDS.
Treating Sleep Apnea in San Antonio

Sleep apnea is a serious condition that affects your ability to get a good night’s rest. If you need help treating sleep apnea in San Antonio, Robert L. Rodriguez, DDS, offers effective solutions to improve your sleep and overall health. Sleep apnea occurs when your breathing repeatedly stops and starts during sleep, disrupting sleep cycles. This can leave you feeling fatigued during the day, and over time, it may contribute to serious health problems like high blood pressure, heart disease, and stroke. Fortunately, our experienced team is ready to help you get the rest you need and improve your quality of life. What is Sleep Apnea? Sleep apnea is when breathing stops and starts repeatedly while you sleep. The most common type is obstructive sleep apnea (OSA), which occurs when the muscles in the back of your throat relax excessively during sleep, blocking your airway. Another type, central sleep apnea, happens when your brain fails to send the correct signals to the muscles that control breathing. The condition is often undiagnosed because it only occurs while you’re sleeping. Many people don’t realize they have it until they experience extreme fatigue or other health issues. If you want to improve your sleep and health, it’s essential to get evaluated by a professional. Symptoms of Sleep Apnea Sleep apnea can cause a range of symptoms, including: If you recognize any of these symptoms, treating sleep apnea in San Antonio with the help of Dr. Robert L. Rodriguez can significantly improve your quality of life. Treatment for Sleep Apnea in San Antonio At Robert L. Rodriguez, DDS, we offer various treatment options for sleep apnea in San Antonio. Depending on your needs, treatment may include: Dr. Robert L. Rodriguez and his team will work with you to determine the best course of action based on your symptoms and preferences. Why Choose Dr. Robert L. Rodriguez to Treat Sleep Apnea in San Antonio? Dr. Robert L. Rodriguez and our dedicated team are committed to providing personalized, compassionate care. With years of experience in sleep apnea treatment, Dr. Rodriguez understands how this condition impacts your health and well-being. Our practice boasts the latest technology to ensure the most accurate diagnosis and effective treatment. Snoring Prevention and Sleep Apnea Treatment Snoring is a common symptom of sleep apnea, and effective treatment can reduce both snoring and the associated health risks. If you want to reduce your snoring and improve your sleep, snoring prevention can enhance the results of your sleep apnea treatment. Dr. Rodriguez offers solutions that address both snoring and sleep apnea, helping you sleep more peacefully. Advanced Dental Technology Our office utilizes state-of-the-art dental technology to diagnose and treat sleep apnea effectively. From advanced imaging to precision appliance fitting, we ensure your treatment plan is as effective as possible. What Sets Us Apart At Robert L. Rodriguez, DDS, we believe in a holistic approach to treating sleep apnea in San Antonio. What sets us apart is our commitment to individualized care. When treating sleep apnea, we take the time to understand your unique needs and create a treatment plan tailored to you. Financing Options for Sleep Apnea Treatment If you need financial assistance, we offer flexible financing options to help make your sleep apnea treatment affordable. We aim to ensure you get the care you need without financial stress. Contact Us Today! If you are ready to address your sleep apnea, contact us today for an appointment at Robert L. Rodriguez, DDS, in San Antonio, Texas. We’re here to help you sleep better and feel better!
